THE COMPARATIVE STUDY OF THE EFFECT OF LOW-INTENSITY BROADBAND AND LOW-INTENSITY PULSED ULTRASOUND ON THE AMPUTATIONAL MODEL OF WOUND

Avatar
Poster
Voice is AI-generated
Connected to paperThis paper is a preprint and has not been certified by peer review

THE COMPARATIVE STUDY OF THE EFFECT OF LOW-INTENSITY BROADBAND AND LOW-INTENSITY PULSED ULTRASOUND ON THE AMPUTATIONAL MODEL OF WOUND

Authors

Zaporozhan, V.; Volokh, K.; Marchenko, O.; Godlevsky, L.; Pervak, M.; Nitochko, O.

Abstract

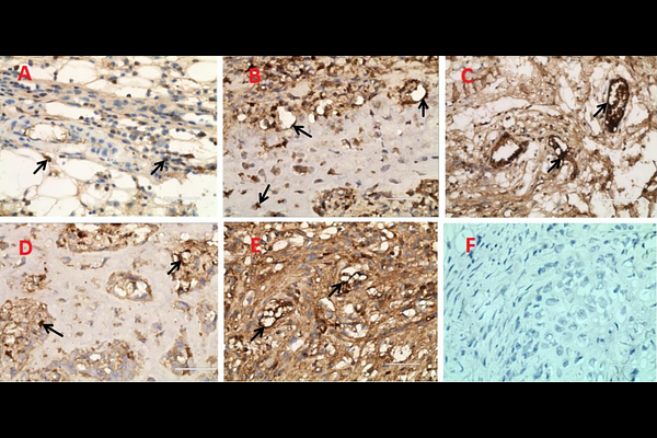
Abstract Background and aim. Trauma healing with low-intensity ultrasound is effective for different types of injuries affecting both soft tissues and bones. The work aimed to disclose the healing potential of a new type of ultrasound, ultra-wideband low-intensity mechanical waves (UMUS), and to compare its effects with those of low-intensity pulsed ultrasound (LIPUS) in a model of trauma. Material and methods. The work was performed on 2 to 3-month-old male Wistar rats. The tail amputation model was established, and a transducer emitting UMUS was applied daily for 10 days to the trauma site in properly immobilized animals. LIPUS was used in a separate group of animals. Sham-stimulated rats were used as a control. The intensity of collagen expression in the subdermal tissue was assessed in van Gieson-stained sections, whereas in the UMUS group, expression of CD31, CD34, VEGF, and Ki67 was analyzed. Results. Starting on the 20th day after trauma, UMUS-treated animals demonstrated a statistically significant decrease in the surface area of the traumatic zone compared with controls, whereas LIPUS-treated rats showed this difference on the 30th day of observation. Starting on the 30th day, UMUS showed a significantly greater reduction in the trauma surface area, with complete closure achieved in 6 of 9 rats. In contrast, in LIPUS-treated animals, a similar result was observed in 2 out of 8 rats. In UMUS-treated rats, collagen expression in animals with LIPUS exceeded control levels by 7.84%, while expression in UMUS-treated rats exceeded that in LIPUS-treated rats by 14.71%. Increased expression of CD31, CD34, VEGF, and Ki67 was observed in UMUS-treated rats. Conclusions. UMUS treatment accelerated healing and reduced wound size, and increased the expression of collagen, CD31, VEGF, CD34, and Ki67, supporting angiogenesis and collagen formation. Effects are more pronounced compared to LIPUS treatment.

Follow Us on

0 comments

Add comment