FUS and TAF15 safeguard the critical functions of the ribonucleoprotein network formed by EWSR1 and newly synthesized RNA

Avatar
Poster
Voice is AI-generated
Connected to paperThis paper is a preprint and has not been certified by peer review

FUS and TAF15 safeguard the critical functions of the ribonucleoprotein network formed by EWSR1 and newly synthesized RNA

Authors

Sundara Rjan, S.; Khan, I.; Jones, T.; Brownmiller, T.; Ebegboni, V.; Lim, L.; Tran, A. D.; Kruhlak, M.; Caplen, N.

Abstract

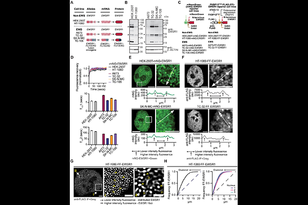
The FET family of RNA-binding proteins, FUS, EWSR1, and TAF15, contribute to transcriptional regulation and RNA maturation, but their core functions remain unclear. Chromosomal rearrangements involving FUS, EWSR1, or TAF15 drive multiple cancers, and mutations in the genes encoding the FET proteins are associated with neurodegenerative disease. Here, using nanoscale imaging, we show that endogenous EWSR1 and newly synthesized RNA exhibit a network-like organization with EWSR1 foci forming the nodes of this ribonucleoprotein network. Acute depletion of EWSR1 causes a rapid but transient reduction in nascent RNA levels and cellular metabolic activity without affecting active transcription. Notably, loss of EWSR1 induces a compensatory mechanism involving the reorganization of FUS and TAF15 to closely resemble that of EWSR1, including enhanced clustering with newly synthesized RNA. Together, our findings reveal functional redundancy within the FET protein family that is critical for the homeostatic regulation of nascent RNA levels.

Follow Us on

0 comments

Add comment